试管重中之重——卵子!披实专家为您揭秘试管助孕之道!
就在今天,又一期的专家直播圆满结束啦~
今天这场直播,披实院长再度降临直播间,为宝妈们全面科普关于卵子的各个方面专业知识,让宝妈们更深入了解卵子以及建议怎么提高卵子质量。满满干货!错过直播的宝妈真的别再错过以下的直播科普集锦啦!
1.什么是卵泡?
卵泡是位于卵巢皮质内呈圆形泡状的细胞聚合体,每个基础卵泡之中一般都会有一个还没发育的卵母细胞(卵子的原形),在经过周期性的生长和发育后,最终在排卵时排出一个卵子。一般女性一生中大约有400-500个卵泡可以发育成熟而排出,其他卵子基本都闭锁和凋谢,并且卵子≠卵泡。
2.卵泡发育阶段
•GV( Germinal vesicle ):原始卵泡(体积小,卵母细胞由一层扁平颗粒细胞包围)
•MI (Metaphase I ):生长卵泡体积增大,卵母细胞周围逐渐出现透明带,卵泡腔,卵丘和卵泡膜
•MII (Metaphase II):成熟卵泡体积最大,贴近卵巢表面,卵泡腔扩大
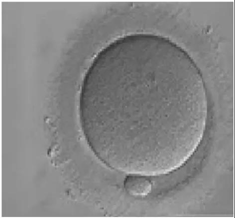
3.卵子发育阶段
取卵后会在胚胎显微镜下评估所取得卵子是什么阶段,举例如下图:
4.成熟卵泡
成熟卵泡模式图:
5.卵子质量的评估-卵子形态
取卵后在显微镜下评估卵子形态
——形态正常的卵子
主要从以下方面评估:
a.透明带,颜色(外观清亮),厚薄(15微米以下)和光滑程度(均匀)
b.卵细胞质,致密程度(精细,光滑), (无)粗颗粒化, (无)色深,(无)空泡等
c.卵周间隙,间隙大小(适中)
d.极体(无)碎片及大小形状(适中)
6.正常异常卵子形态
Granular: 卵细胞质粗糙;
Refractile Body:卵细胞质有黑色斑点;
Ovoid Shaped: 椭圆形状的卵子;
SER: 卵细胞浆中央大量滑面内质网聚集形成盘状物;Vacuoles:卵细胞质内有空泡;
Thick Zona:透明带偏厚;
Fragmented PVS: 卵周间隙碎片化;
Irregular Zona: 透明带形状不规则;
Large PVS : 卵周间隙偏大;
Large PB: 极体偏大;
Fragmented PB: 极体碎片化。
以上这些卵子给出的信号可能不好,但并不代表不能受精。医生评估每个卵子异常形态以后,根据这些卵子可能导致的问题后用合适的技术来提高胚胎的质量。
7.透明带过厚用辅助孵化技术
- 如果卵母细胞透明带过厚(大于15微米)、过硬,辅助孵化技术可有利于让胚胎外膜变薄囊胚孵化;
- 通常在胚胎第三天或者囊胚胎期进行(打开或打薄卵子的细胞壁以帮助胚胎孵化)
- 用的这个激光辅助技术不会影响胚胎的质量,因为打磨的是胚胎的外层。
•透明带过厚
•辅助孵化技术
Follitirope, Gonal- F果纳芬, Pergoveris 倍孕力, Menopur 美诺孕。
互动环节问答
1.国内医生说,选男女性别的筛查过程的激光很伤害胚胎,真的是这样吗?
这根据医院技术有关系,泰国技术虽然也用激光,但是抽取细胞不会对胚胎造成损害的,抽取活检的步骤是很谨慎,抽取细胞活检主要作用到细胞壁外面的透明带就是后期形成胎盘的部分,并没有伤害到细胞质形成胎儿的部分。
2.胚胎已经做过23对筛查,但移植后7周还会胎停?
要看细胞等级,胚胎着床后会不会变质,胚胎发育过程中细胞发育不够,子宫给的营养不充足,没有胎心也有这种情况。做筛查后只能看胚胎23对染色体是否正常,移植后几乎不会出现基因方面的问题。但是后期在母体发育还是要分很多种情况。
3.服用DHEA后,睾酮数值增高很多,对卵泡质量有影响吗?
DHEA含有雄激素会让睾酮提高,跟多囊差不多,吃DHEA会增加卵泡数量,但是增高的话还是会有点影响卵泡质量,但质量跟数量比,还是建议吃一点的,DHEA在促排前2-3个月吃,开始促排时就会停止,如果高龄就不需要吃太久。DHEA还会对肝有点影响,所以泰国还有睾酮凝胶效果一样,但是不会对肝影响,可以用其代替。雌二醇高的客户用2-3个月也不会有太大影响,子宫肌瘤也是一样。
4.植入双胎需要什么条件,个子矮有影响吗?
移植双胎主要看多方面,身体状态好不好,是否健康,子宫环境,是否有过妊娠经历,是否剖腹产经历等等,身高的影响反而是其次,期间披实院长还爆料一个秘密,披实院长自己的3个孩子也是试管婴儿,2男一女,披实院长的妻子身高也是一米五五左右,40岁促排的,还伴有多囊,做试管之前也吃了二甲双胍,现在双胞胎男宝宝是3岁,都很健康。第一次胚胎质量不是很好的,第二次妻子有做锻炼,还吃了调理药,事实还是有效果的。
5.子宫腺肌症对移植的影响有多大?
看是否严重,腺肌症容易流产,还要咨询国内医院保胎。有腺肌症在移植之前一般还需要打达菲林药物。
以上这些情况都是因人而异,如果有宝妈想了解自己个性化的治疗方案,可以前往医羽平台咨询客服,把报告发给客户后为您咨询专业医生建议,甚至免费预约远程医生会诊,一对一为您解答各种问题。
贴心医羽,随时随地在您身边,伴您直到好孕。

